Ortodonție
La Arc Dental Clinic, suntem mândri de rezultatele obținute și de impactul pozitiv pe care îl avem asupra vieții pacienților noștri. În această secțiune, vă prezentăm o serie de cazuri clinice care ilustrează succesul tratamentelor noastre de ortodonție și ortopedie dento-facială. Fiecare poveste reflectă angajamentul nostru față de excelență, inovație și îngrijire personalizată. Vă invităm să descoperiți transformările uimitoare și să vedeți cum am reușit să readucem zâmbetul și încrederea pe chipurile pacienților noștri.

Aparat mobil pentru copii
Aparatul mobil în ortodontie este un dispozitiv dentar utilizat pentru corectarea problemelor de aliniere a dinților și a mușcăturii, care poate fi îndepărtat de pacient. Ideea principală este că, datorită flexibilității sale, acesta permite ajustări individualizate, facilitând tratamentele ortodontice pe termen lung și oferind pacientului confort și o igienă orală mai bună.


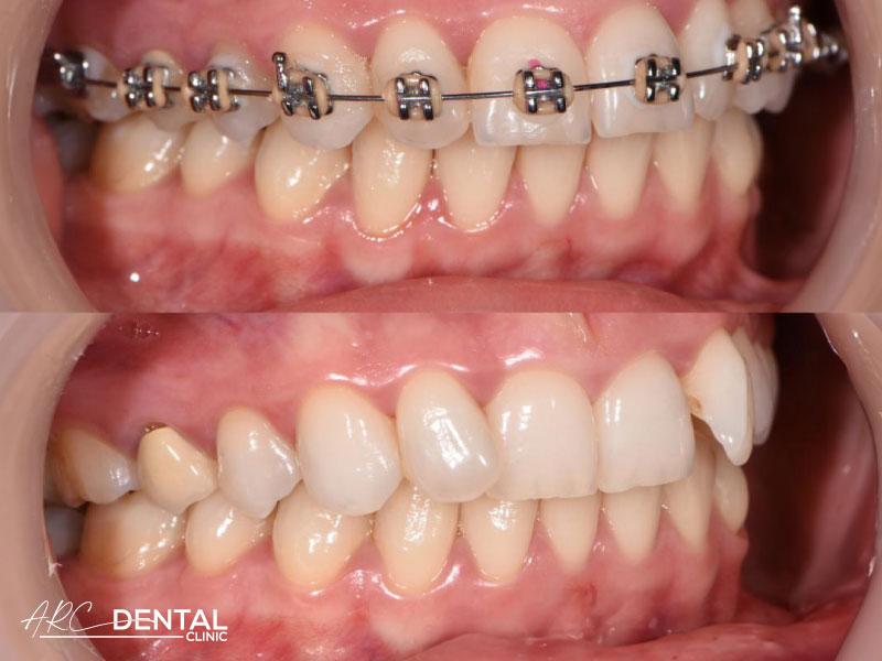
Aparat dentar metalic clasic
Aparatul dentar metalic reprezintă o soluție ortodontică foarte eficientă, fiind ideal pentru corectarea aliniamentului dinților și a mușcăturii. Datorită materialului său durabil, oferă un tratament pe termen mediu și este adesea mai accesibil financiar decât alte tipuri de aparate.
Acest tip de aparat permite ortodontului să controleze precis mișcarea dinților, asigurând rezultate rapide și eficiente. De asemenea, contribuie la sănătatea orală prin prevenirea problemelor dentare pe termen lung, cum ar fi cariile sau afecțiunile gingivale. Astfel, aparatul dentar metalic nu doar că îmbunătățește estetica zâmbetului, ci și funcționalitatea dentară generală.

Aparat dentar saphire
Aparatul dentar din safir este o soluție ortodontică estetică, ideală pentru corectarea aliniamentului dinților fără a compromite aspectul zâmbetului. Fabricat din cristale de safir, acest aparat este discret și aproape transparent, făcându-l mai puțin vizibil decât aparatul metalic.
Acest tip de aparat permite ortodontului să controleze cu precizie tratamentul, asigurând rezultate rapide. De asemenea, îmbunătățește sănătatea orală prin corectarea mușcăturii și prevenirea problemelor dentare pe termen lung. Astfel, aparatul dentar din safir combină estetica superioară cu funcționalitatea eficientă, oferind pacienților un zâmbet frumos și sănătos.

Aparat dentar invizibil tip gutieră
Aparatul dentar de tip aligner este o soluție ortodontică inovatoare care oferă numeroase avantaje. În primul rând, alignerele sunt extrem de discrete, fiind realizate din material transparent, ceea ce le face aproape invizibile, ideal pentru cei care doresc să corecteze alinierea dinților fără a atrage atenția.
Un alt beneficiu major este legat de vizitele la 3-4 luni a pacientului in cabinet , acest lucru facand posibil ca tratamentulu sa fie posibil chiar si pacientilor din strainatate.
Alignerele sunt personalizate pentru fiecare pacient, asigurându-se că se potrivesc perfect, ceea ce reduce disconfortul asociat cu aparatele dentare tradiționale. De asemenea, pot fi îndepărtate cu ușurință, facilitând igiena orală, permițând utilizarea periuței de dinți și a aței dentare fără dificultăți.
Flexibilitatea este un alt aspect important, pacienții pot mânca și bea fără restricții, deoarece alignerele se îndepărtează înainte de masă. Tratamentul cu alignere poate fi, de asemenea, mai rapid decât cu aparatele tradiționale, iar progresul este adesea vizibil în câteva săptămâni.
În plus, alignerele contribuie la sănătatea orală pe termen lung, corectând mușcătura și alinierea dinților, ceea ce ajută la prevenirea problemelor dentare, cum ar fi cariile și afecțiunile gingivale. Astfel, aparatul dentar de tip aligner combină estetică, confort și eficiență, oferind pacienților o experiență ortodontică superioară.

Aparat dentar Incognito
Aparatul dentar Incognito este o soluție de ultimă generație pentru îndreptarea dinților, oferind un aspect complet invizibil. Fiind montat pe partea interioară a dinților, acest aparat ortodontic personalizat combină eficiența corecțiilor dentare cu discreția maximă, ideal pentru cei care doresc un zâmbet perfect fără ca tratamentul să fie vizibil. Incognito este realizat din aliaje de înaltă calitate, fiind confortabil și potrivit pentru toate vârstele. Alegând această soluție, obții un zâmbet armonios fără compromisuri estetice.

Expansorul ortodontic
Expansorul ortodontic este un aparat dentar utilizat pentru a lărgi maxilarul superior, facilitând alinierea corectă a dinților și îmbunătățind mușcătura. Ideea principală este că, prin aplicarea unei forțe ușoare și constante, expandorul ajută la crearea unui spațiu suplimentar pentru dinții permanenți, corectând astfel problemele de poziționare și contribuind la un zâmbet sănătos.

Aparat cu orto-implante

Aparat autoligaturant Saphir
Aparatul autoligaturant Saphir este ideal pentru pacienții care își doresc corecția dinților într-un mod cât mai discret, fără compromiterea esteticii zâmbetului. Realizat din safir monocristalin, un material foarte transparent și durabil, acest aparat este aproape invizibil pe dinți, integrându-se bine în nuanța naturală a acestora. Tehnologia autoligaturantă permite o mișcare mai eficientă și mai confortabilă a dinților, eliminând necesitatea ligaturilor elastice și reducând timpul petrecut la controale. Aparatul Saphir este apreciat nu doar pentru eficiența tratamentului, ci și pentru confortul și igiena superioară pe care le oferă.
